cerec yapımı

CEREC İLE DİŞ YAPIMI

Dijital Diş Hekimliği ve 3D Tarayıcıların Getirdiği Avantajlar” konulu yazı

Dijital diş hekimliği, geleneksel yöntemlere kıyasla birçok avantaj sunan yenilikçi bir yaklaşımdır. 3D tarayıcılar, diş hekimlerine ve hastalara bir dizi fayda sağlar. İşte dijital diş hekimliği ve 3D tarayıcıların getirdiği avantajlardan bazıları:

1. Hızlı ve Doğru Ölçüm: 3D tarayıcılar, dişlerin ve ağız yapısının hassas bir şekilde taranmasını sağlar. Geleneksel alginat ölçüm yöntemlerine kıyasla daha hızlı ve daha doğru sonuçlar elde edilir. Bu, tedavi sürecinin hızlanmasına ve daha verimli bir şekilde ilerlemesine yardımcı olur.

Diş Kaplama Fiyatları

Bu yazıda 2021 diş kaplama fiyatları hakkında bilgiler verelim. Diş estetiği için yapılan zirkonyum diş kaplama, laminate diş kaplama ve porselen diş kaplama fiyatı ne kadar bunlara bakalım. Estetik diş yapma fiyatları ne kadar, yapım süresi ne kadar, diş kaplama acıtır mı,kaplama diş çıkar mı gibi soruları da yanıtlayalım. Türkiye diş fiyatları ne kadar, İstanbul estetik diş merkezi Diş Hekimi Sertaç Kızılkaya dan bilgi alalım.

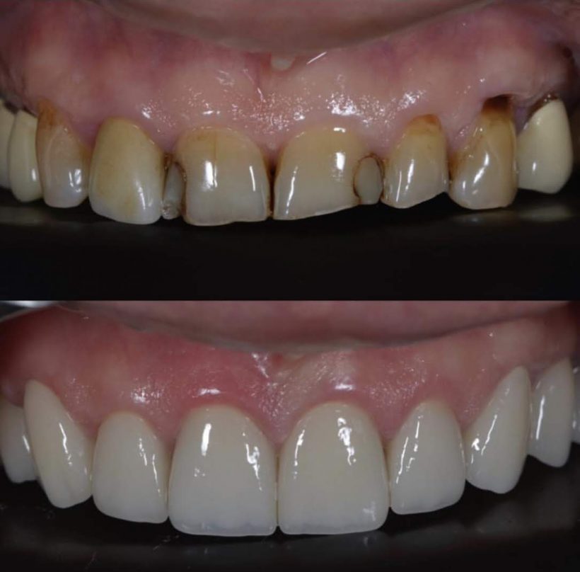
Diş Kaplama ve Protezler

Dişlerimizin değerini onları kaybettikten sonra anlıyoruz değil mi? Siz de dişleriniz ile ilgili sorun yaşıyorsunuz sanırım. Bazı insanlar çocuk yaşlarında başlayan diş eğriliği, diş çürüğü gibi problemler ile uğraşırken bazılarımız da 40 lı yaşlarda diş eti sorunları ile mücadele verebiliyor. Diş Hekimi Sertaç Kızılkaya dan diş kaplama ve protezler ile ilgili bilgiler aldık. Ne zaman diş kaplama, ne zaman diş protezi gerekir? İmplant diş yapımı mutlaka gerekli mi? Diş eksikliği için ne yapılabilir? sorularını yanıtladı. 

Kanal tedavisi nedeni ile oluşan diş renklenmesinde tek diş zirkonyum kaplama ile çözüm

Kanal Tedavisi Dişi Kurtarır mı?

Çürüyüp ağrıyan dişlerimiz için kanal tedavisi dişi kurtarabilecekmi diye merak ettik ve “kanal tedavisi diş ve kurtarır mı” diye konunun uzmanı diş hekimi Sertaç Kızılkaya’ya sorduk. Kendisi bize, kanal tedavisi nedir, kanal tedavisi neden yapılır, kanal tedavisi sonrası hangi durumlar ile karşılaşılır ve kanal tedavisi fiyatı hakkında bilgiler verdi.

Estetik diş kaplama

Diş Kaplama Ne Demek?

Dişlerin birinde vaya birkaçında kırık, çatlak ya da çürük olabilir. Bu durumunda dişin üstüne diş kaplaması uygulanır. Bazen de dişin renk problemleri nedeni ile estetik sorunları olur. Böyle durumlarda da estetik amaç ile diş kaplama yapılabilir. Diş kaplama ile ilgili konunun uzmanı Diş Hekimi Sertaç Kızılkaya dan bilgi aldık. Kendisi İstanbul Küçükçekmece Korudent Diş Kliniğinin sahibi. Kaplama diş çeşitleri ve en iyi kaplama hangisi diye sorduk.

Porselen diş

İstanbul Diş Estetiği Merkezi

Günümüzde artık diş estetiği denildiğinde sadece dişlerin üzerine porselen kaplama yapmak değil, dişleri sıralı hale getirmek, dişlerin rengini değiştirmek ve dijital gülüş tasarımı ile daha güzel bir gülümseme elde etmek akla geliyor. Porselen diş kaplama, zirkonyum diş kaplam, ortodonti tedavileri, diş beyazlatma gibi tedaviler var. Bu konu hakkında İstanbul diş estetiği merkezi uzman diş hekimlerinden bilgi aldık.
Diş Estetiği
Hastanın ağız içi ve yüz fotoğrafları değerlendirilerek kişiye en uygun gülümseme planı yapılabilmektedir.
Dijital gülüş tasarımı ile gerçekleştirdiğimiz bu tedaviler hem kısa süre içerisinde hem de son derece tatmin verici olarak uygulanabilmektedir. Yıllardır sadece porselen diş yapılarak elde edilen diş estetiği artık ortodonti tedavileri ile birlikte diş kaplamaların birlikte uygulanması sayesinde başarılı sonuçlar vermektedir. Devamı >>>

ortodonti tedavisinde telsiz ortodonti orthero invisalign

Ortodonti

Hem estetik, hem de fonksiyonel olarak kişiye fayda sağlayan bir tedavi olan ortodonti tedavisi; diş eğriliklerinin düzeltilmesi ile birlikte alt çene ve üst çene arasındaki uyumsuzlukların ortadan kaldırılması için çalışan bir diş hekimliği bölümüdür. Ortodontist bilinen ortodonti uzmanları tarafından uygulanan bu diş tedavileri her yaşta hastaya uygulanabilmektedir.

Estetik Diş Eti

Diş Eti Hastalıkları Hangileridir, Nasıl Tedavi Edilir?

Diş Eti Hastalıkları Hangileridir, Nasıl Tedavi Edilir?Verimli bir tedavi süreci için hem hekim hem de hasta tedaviye aktif bir şekilde katılım göstermelidir diyen Diş Hekimi Sertaç Kızılkaya İstanbul (Küçükçekmece, Avcılar, Halkalı, Beylikdüzü) bölgesinde bulunan diş kliniklerinde ilk olarak teşhis sonra doğru tedavi planı ve uygulama sırasını izlediklerini belirtti. Doğru teşhis doğru tedavinin kapısını açar diyen Sayın Kızılkaya’dan aldığımız bilgileri sizlerle paylaşalım. www.drsertac.com sitesinde diş eti hastalığı tedavisi sayfasından da bilgi alabilirsiniz.